小児矯正
「指しゃぶりがやめられない」「いつも口をぽかんと開けている」「前歯が少し出ている」
このようなお悩みを持つ親御さまは多いのではないでしょうか?
実は、これらは歯並びの乱れや顎の成長の異常を知らせる初期のサインかもしれません。
乳歯が生えそろってから永久歯に生え変わるまでの間、お子さまのお口は体の成長と同じように大きく変化します。特に歯の生え変わり期は、歯並びや噛み合わせのトラブルが起こりやすい時期です。そのため、早い段階でお口の変化に気付き、適切に対処することが、将来のトラブルを防ぐだけでなく、健康で美しい歯を育てることにもつながります。
小児矯正は、成長期だからこそ可能な、「骨格から整える」治療です。
当クリニックでは、お子さまが笑顔で通える環境づくりを大切にしながら、成長や発達に合わせて、やさしく、無理のない治療を心がけています。
こんな時はぜひ私たちにご相談ください。
- 乳歯の間に隙間が全くなく、窮屈に並んでいる
- 前歯が大きく前に出ている
- 下の歯が上の歯より前に出ている
- 歯と歯の間にすき間が目立つ
- 歯が重なって生えてきた
- いつも口で呼吸している
- 発音がはっきりしない、舌の動きにも違和感がある
- 顔の左右のバランスが違う

小児矯正とは?
歯並びの乱れや噛み合わせの悪さは、「不正咬合(ふせいこうごう)」と呼ばれ、見た目の問題だけでなく、咀嚼(そしゃく:かむこと)や発音など、お口本来の機能にも大きな影響を及ぼします。
小児矯正は、成長期のお子さまの歯並びや噛み合わせを整えるための治療であり、顎の発育を促しながら正しく歯が並ぶ土台を整えていくのが特徴です。当クリニックでは、見た目の改善だけでなく、「食べる」「話す」といったお口の機能を正しく使えるようになることを重視し、本格的な矯正を始める前の段階から取り組めるプログラムも積極的に導入しています。
お子さまの矯正治療は、歯や顎(あご)の成長に合わせて進めていくため、数年にわたる期間が必要になる場合があります。また、矯正装置を使用するにあたっては、虫歯や歯周病の予防や管理も欠かせません。だからこそ当クリニックでは、お子さまや親御さまに安心して治療を受けていただけるよう、信頼関係を大切にしながら、心を込めてサポートしてまいります。
大人の矯正治療との違い・早期治療のメリット
小児矯正の最大の特徴は、成長期の力を利用できることです。
大人の矯正では、すでに骨格の成長が止まっているため、歯を動かすスペースを確保するには、健康な歯を抜かなければならない場合があります。しかし、噛む時にかかる「咬合力(こうごうりょく)」はとても強いため、矯正治療のために歯を抜いてしまうと、周囲の歯に大きな負担がかかり、歯が割れる(歯根破折:しこんはせつ)・歯周病になりやすいなどのリスクが高まります。また、矯正中は歯が動く過程で嚙み合わせが変化するため、顎の位置が定まらず、一時的に顎関節症などの症状が出ることがあります。
さらに、大人の顎の骨は硬く、歯が動くスピードも遅いため、治療期間が長くなる傾向があります。
一方で、お子さまの顎はまだ成長の途中にあるため、その成長力を活かして発育を正しく導けば、歯が並ぶスペースを自然に確保でき、将来的には抜歯をせずに矯正できる可能性が高まります。骨も柔らかく歯が動きやすいため、治療がスムーズに進みやすいのも利点です。さらに、歯並びや顎の発達は顔全体の印象にも影響するため、バランスの整った自然な表情づくりにもつながります。
このように、小児矯正は単に歯並びを整えるだけでなく、「健康な歯を育てる」「自然な噛み合わせをつくる」「調和のとれた表情を育む」といった、大人の矯正にはない多彩なメリットを持っています。
不正咬合(ふせいこうごう)の主な種類
不正咬合の多くは、顎の成長や、指しゃぶりなどのお口の癖の影響で起こることがあり、放置すると見た目のコンプレックスになるだけでなく、噛む・話すといった機能にも影響を及ぼします。
主な不正咬合の種類には以下のような種類があり、それぞれ原因や影響が異なります。
上顎前突(じょうがくぜんとつ)/出っ歯
- 特徴:上の前歯が前方に傾いている、または上の歯並び全体が前に出ている。
- 原因:下顎が小さい、もしくは後方に位置している、遺伝、歯と顎の大きさのアンバランス、指しゃぶり・おしゃぶりの長時間使用、口呼吸、舌の癖*1など
- 影響:口を閉じにくい、前歯をケガしやすい、舌の前歯で上の歯茎を傷つけやすい
*1舌で歯を押す(舌突出癖)、飲み込む時に舌を前方に突き出す(異常嚥下癖)など。成長期の子供に多く、不正咬合の主な原因となる。

下顎前突(かがくぜんとつ)/受け口
- 特徴:下の前歯が上の前歯より前に出ている
- 原因:遺伝、前歯の傾きの問題、下顎が大きすぎるもしくは上顎が小さすぎる
- 影響:ものが噛みにくい、聞き取りにくい話し方になる
※顎の骨の成長によって変化するため、成長が止まるまで経過を見ていく場合があります。

空隙歯列(くうげきしれつ)、正中離開(せいちゅうりかい)/すきっ歯
- 特徴:歯と歯の間に隙間がある、全体的なすきっ歯を「空隙歯列」、前歯の中央の隙間を「正中離開」という
- 原因:遺伝、舌の癖、生まれつき歯が小さいもしくは欠損している
- 影響:食べものが挟まりやすい、歯ブラシが届きにくく、虫歯や歯周病になりやすい、発音が不明瞭になる(特にサ行・タ行)

叢生(そうせい)/乱ぐい歯
- 特徴:歯が重なってデコボコしている、もしくはねじれている
- 原因:遺伝、顎の骨と歯の大きさのアンバランス、舌の癖、頬杖、口呼吸など
- 影響:噛み合わせが悪い、発音が不明瞭、歯ブラシが行き届きにくく虫歯や歯周病になりやすい

開咬(かいこう)/オープンバイト
- 特徴:口を閉じても前歯などに隙間ができている
- 原因:遺伝、指しゃぶり・おしゃぶりの長時間使用、舌の癖など
- 影響:食べ物を前歯で噛み切れない、正しい発音ができない

交叉咬合(こうさこうごう)/クロスバイト
- 特徴:上下の歯を噛み合わせた時、一部の歯が逆の位置で噛み合う
- 原因:遺伝、指しゃぶり・おしゃぶりの長時間使用、舌の癖、頬杖、口呼吸
- 影響:噛みにくい、発音しにくい、歯ブラシが届きにくいため、虫歯や歯周病、口臭になりやすい、咬合力のアンバランスにより顔のバランスが非対称になるなど

これらの不正咬合は、成長期の治療で顎のバランスを整えることにより、改善が期待できます。
気になる症状がある場合は、早めのご相談をおすすめします。
小児矯正の時期と使用する装置
小児矯正は、「Ⅰ期治療」と「Ⅱ期治療」に分かれており、それぞれ目的や方法が異なります。
また、当クリニックでは、本格的な矯正治療に入る前から、マイオブレースを使用した不正咬合を予防するプログラムも導入しております。
マイオブレース治療(5歳頃から)
マイオブレースは、オーストラリアの歯科医師クリス・ファレル氏によって開発されたマウスピース型の装置で、現在は世界100か国以上で使用されています。
従来の矯正装置のように無理に歯を動かすのではなく、舌の癖や口呼吸といった歯並びを悪くする原因を取り除くことに重点を置いているのが特徴です。
●治療方法
日中1~2時間と就寝中にマウスピースを装着します。(取り外し可能)
お口周りの筋肉を発達させるアクティビティ(トレーニング)を並行して行うことで、悪い癖を改善し、正しい顎の発達を促して歯が自然に正しい位置に並ぶように導きます。
●メリット
- 日中の使用時間が短い
- 痛みが少なくお手入れもしやすい
- 抜歯の必要がなく、後戻りも少ない
- 正しい呼吸・咀嚼・嚥下(飲み込むこと)を身に付けることで健康面にも良い影響がある
マイオブレースの対象年齢は3~15歳ですが、小学1年生~5年生頃が効果的とされており、当院では5歳頃から治療を行っています。
マイオブレースの治療費用は110,000円(税込)です。(保険適用外)

Ⅰ期治療(8~9歳頃:混合歯列期)
顎の骨の成長を促し、永久歯がきれいに生えるためのスペースを作る治療です。
この時期に基本的な問題を解決しておくと、Ⅱ期治療での抜歯を避けられる可能性が高まり、治療期間の短縮も可能です。
当院では、「オーバーレイ」と呼ばれる乳臼歯に装着する被せ物を使用します。
●治療方法
金属またはセラミックの被せ物を上下の奥歯4本に装着し、噛む高さや顎の位置関係を理想的な位置に誘導して歯並びと噛み合わせを整え、顔の骨全体の正しい成長を促します。
さらに、前歯が永久歯に生え変わった場合は、その時点でワイヤー矯正を併用し、より精密に調整を行います。
●メリット
- 幅広い症例に対応できる
- 永久歯を抜かずに治療できるケースが多く、後戻りが起こりにくい
- お子さまに合わせたオーダーメイド製作で、一度装着すると自然に歯が生え変わるまで外す必要がないため、負担が少ない

※最近は銀色ではなく、目立ちにくい白色の被せ物を作成します。
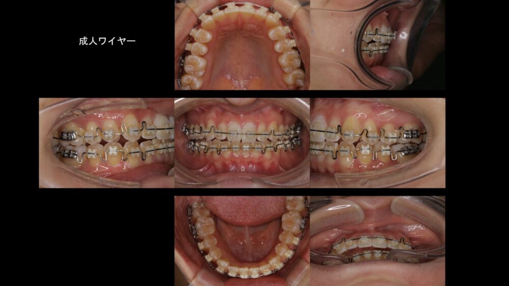
Ⅱ期治療(小学校高学年以降:永久歯列期)
Ⅱ期矯正では、成人矯正の場合と同じく、ワイヤー矯正を行います。
12歳臼歯が生え始め、永久歯がほぼ生え揃った頃に開始します。最初は軽い痛みや違和感を生じますが、多くは数日で慣れます。装着期間は個人差がありますが、おおよそ2年が目安です。治療中は、食べ物が挟まりやすく、虫歯や歯周病のリスクが高まるため、口内の衛生管理が重要です。
●治療方法
歯の表面に金属またはセラミック製のブラケットを装着し、ワイヤーで歯を移動させて歯並びと噛み合わせを完成させます。
●メリット
- 歯を細かく動かすことができ、長期的に安定した結果が得られる
※生え変わりの状況によっては、Ⅰ期治療終了後からⅡ期治療開始まで、数年間の期間が空く場合もあります。

当院の矯正治療の流れ
当クリニックの小児矯正は、以下のようなステップで進めていきます。
1.初診相談(5~7歳頃)
お電話またはWebでご予約のうえ、お子さまと一緒にご来院ください。
お口全体を一度に写し出せる「パノラマレントゲン」を用いて、歯並びや噛み合わせ、歯の生え変わりの状況、顎の骨の発育状態などを詳しく調べます。
親御さまのご要望を伺い、お子さまに最適な矯正方法をご提案します。
2.精密検査
初診時に行ったパノラマレントゲンに加え、必要に応じて、一本ずつの歯を詳しく確認できる「デンタルレントゲン(X線撮影)」を行います。
あわせて、口腔内の写真や歯の型取りなど、治療計画に必要な検査も行います。
検査費用は、33,000円(税込) です。(保険適用外)
3.治療計画の説明
検査の結果をもとに治療計画を作成します。
使用する装置や治療期間、費用について丁寧にご説明し、ご理解いただいたうえで治療を開始します。分からない点やご心配があればいつでもお気軽にお尋ねください。
4.治療開始
治療計画に沿って、マイオブレース、オーバーレイ、ワイヤー矯正など、必要に応じて装置を使用しながら治療を進めます。お子さまや親御さまが安心して治療を受けられるよう、しっかりサポートいたします。
5.定期通院(月1回)
装置の調整やお口の状態のチェックを行います。
ただし、装置の不具合などを生じた時は、定期通院を待たずに早期にご連絡ください。
6.治療完了
永久歯の歯並びが整い、噛み合わせの調整が完了したら治療は終了です。
治療期間は、お子さまの生え変わりの状況によって異なります。
7.保定・メンテナンス
Ⅱ期のワイヤー矯正が終了した後は、歯が元の位置に戻らないようにするために「保定装置(リテーナー)」を一定期間使用していただきます。
リテーナーの装着期間は個人差もありますが、2~3年程度が目安です。
治療中および治療後の注意点
矯正中は装置を付けているため、どうしても虫歯や歯周病のリスクが高くなります。
そこで当クリニックでは、フッ素入りの歯磨き粉やフッ素入りの洗口液の使用をおすすめしています。さらに、矯正中の方へ向けに、正しい歯磨きの方法をまとめたパンフレットもお渡ししております。お手入れについてご不安な事や分からないことがあれば、いつでも医師やスタッフにご相談ください。
また、矯正が終了した後も、3~4か月ごとの定期検診とメンテナンスを続けることが大切です。
治療で手に入れた美しい歯並びと健康な歯を守るために、ぜひ定期的なケアを習慣にしていきましょう。
当院の取り組みとお子さまへの配慮
当クリニックでは、小さなお子さまでも治療の意欲を保って楽しく通院していただけるように、また、親御さまが安心してお子さまに治療を受けさせることができるように、以下の取り組みや工夫を行っています。
女性ドクターによる診察
初めての通院は、お子さまにとって不安なものです。特に男性の先生が苦手なお子さまも少なくありません。当クリニックでは、女性ドクターが治療を担当し、お子さまの年齢や性格に合わせて、無理のないペースで治療を進めてまいります。
丁寧で分かりやすい説明
小さなお子さまにとって「なぜ矯正が必要なのか」を理解するのは難しいものです。
当クリニックでは、装置の使い方や治療の流れを、お子さまにも分かりやすい言葉で丁寧に説明しています。「怖くない」「痛くない」と安易に言うのではなく、お子さまの不安な気持ちを受け止め、正直に寄り添い、励ましながら治療を進めます。
コミュニケーションを大切に
良い治療のためには、お子さまや親御さまとの信頼関係が欠かせません。
当クリニックでは、治療の合間に学校や好きな遊びのお話をしながら、楽しく通える雰囲気づくりを心がけています。治療後には、ささやかなご褒美もご用意し、「また行きたい!」と思っていただける医院を目指しています。
矯正治療の期間は、お子さまの心身が大きく成長する大切な時期です。通院を通して、お子さまの成長を一緒に見守れることは、私たちスタッフにとっても大きな喜びです。
キッズスペースの充実
治療前にリラックスできるよう、明るい雰囲気のキッズスペースをご用意しております。
お子さまはビデオや絵本、おもちゃで遊びながら待つことができ、治療を受ける間、ご兄弟も安心して遊んでいただけます。スタッフの手が空いている時は、一緒に遊ばせていただくこともあります。

小児矯正の費用
当院の小児矯正の費用は、40万円(税込)~となります。(保険適用外)
料金は症例により異なりますので、詳しくはカウンセリングの際にご案内いたします。
お支払いは、現金またはクレジットカードで承っております。 なお、当クリニックでは、できるだけ抜歯をせずに矯正を終えることを目標に、早期からの継続的なサポートを行っております。そのため、小児矯正を受けたお子さまが将来的にⅡ期治療(成人矯正)へ進まれる場合には、Ⅱ期治療の費用を半額でご案内いたします。
- Ⅱ期治療から矯正を始める場合:通常料金
- 小児矯正からⅡ期治療へ移行される場合:Ⅱ期治療費を半額でご案内
小児矯正についてのQ&A
-
1.装置を付けるのに不安があります。矯正治療は痛みがありますか?
マイオブレース装置は痛みがなく、お子さまの負担が少ないのが特徴ですが、装置に慣れるまでは、歯が押されるような違和感を生じることがあります。また、オーバーレイやワイヤー矯正では、装置の装着後や調整後に歯が動くことで、軽い痛みや違和感を生じることがあります。
これらの症状の多くは一時的なもので、数日程度で慣れる場合がほとんどです。
ただし、装置の破損や不具合によりお口の粘膜に当たって痛みが出たり、口内炎ができたりする場合には調整が必要になりますので、お早めにご連絡ください。
矯正装置の装着に不安を感じるお子さまには、治療の意味を丁寧に説明し、安心して取り組めるようサポートいたします。 -
2.矯正はいつから始めるのが一番良いですか?
矯正を始める時期は、お子さまの歯並びや成長の状態によって異なります。
乳歯の段階から始めた方が良い場合もあれば、永久歯が生えそろってから治療を行う方が適している場合もあります。
まずはお子さまの成長や発育が順調に進んでいるかを確認する場として、矯正の相談をご活用ください。矯正相談をしたからといって、必ずしもすぐに治療が必要になるわけではありません。
当院では、お口の状態を確認し、お子さまにとって負担が少なく、効果が期待できる治療の方法と時期をご案内しています。お子さまの歯並びが気になった時点で、ぜひ一度ご相談ください。 -
3.矯正装置の管理はどのように行いますか?通院頻度はどれくらいですか?
矯正中は装置の調整や歯の動きをチェックするため、通常は月に1回の通院をお願いしています。ただし、治療の進み具合や歯の生え変わりの状況によっては、通院間隔が延びる場合もあります。また、装置の不具合が生じた時は、通院日を待たずにできるだけ早めにご連絡ください。
せっかく治療をしている歯を虫歯にしないためには、ご自宅でのケアも大切です。
そのため、通院時には正しい歯磨き方法や装置のお手入れ方法なども丁寧にご説明します。
小さなお子さまは一人で管理するのが難しいため、親御さまのご協力をお願いいたします。
院長からのひと言
小児矯正は、成長期のお子さまだからこそ行うことができる特別な治療です。
お子さまの成長のタイミングに合わせて治療を進めることで、負担をできるだけ少なくし、より自然な形で歯並びや噛み合わせを整えることができます。
当クリニックでは、「お子さまが安心して通えること」を何より大切にしています。
一人ひとりの成長のペースや性格に合わせた治療計画を立て、ご家族の皆さまと一緒に見守りながら、笑顔で通っていただけるよう丁寧にサポートいたします。
きれいな歯並びと安定した噛み合わせは、見た目の美しさだけでなく、将来のお子さまの健康や自信にもつながる大切な財産です。
「うちの子の歯並び、大丈夫かな?」と思った時が、相談のタイミングです。
お子さまの未来の笑顔を守るために、私たちと一緒に今できることから始めていきましょう。
